
조직 학자들은 병리학 자들이 볼 수 있도록 조직 샘플을 준비합니다.
의사와 간호사는 TV 프로그램에서 모든 관심을 얻었지만 건강 관리 업계에서는 다른 많은 좋은 직업이 있습니다. 예를 들어 의사가 실험실 테스트를 위해 보낼 때, 그 샘플은 조직 학자가 준비 할 수 있습니다. 그들은 병리학 실험실에 근무하는 전문가 중 한 명으로 의사가 질병을 정확하게 진단하는 데 도움을줍니다. 책임감 있고 보람있는 자리이며 2 년의 공식 교육 만 필요합니다.
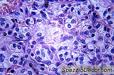
그들이 무엇을 할
기술자는 생검에서 나온 세포, 수술 중 제거 된 기관 또는 심지어는 개별적인 털을 포함하여 모든 종류의 조직 샘플을 사용합니다. 병리학 자 및 실험실 기술자는 암과 같은 질병을 표시하는 세포 변화를 찾고 현미경으로이 조직을 검사합니다. 그런 일이 일어나기 전에 조직 학자들은 견본을 준비합니다. 보통 샘플은 마이크로톰이라고 불리는 기계에서 얇게 썰어 방부제를 함침 시켜서 변질시키지 않아야합니다. 그런 다음 기술자가 표본을 얼룩지게하여 병리학 자에게 세포의 내부 구조를 더 잘 보이게합니다.
교육
그것은 조직 학자가 일에 전적으로 배우는 것이 가능하지만, 그것은 드문 경우입니다. 대부분의 새로운 기술자는 커뮤니티 또는 기술 대학에서 1 년 자격증 프로그램이나 2 년제 준 학사 학위 프로그램을 통해 경력을 쌓습니다. 일부 대학은 조직학에서 준 학사 학위를 수여하고 다른 일부 대학에서는 조직학에 초점을 맞춘 실험실 과학 학위를 제공합니다. 인증 프로그램은 이미 관련 분야에서 준 학사 학위를 소지 한 학생을위한 것이며 해당 자격에 조직학을 추가하고자합니다. 교실 수업은 과학에 중점을두고 학생들은 실험실에서 감독 된 임상 시간을 통해 자신의 지식을 적용 할 수 있습니다.
라이센스 및 인증
조직학 기술자는 승인 된 교육 프로그램을 졸업하고 미국 임상 병리 학회의 인증을 받아야한다는 것을 의미하는 일부 주에서는 면허를 취득해야합니다. 인증 자격을 얻으려면 공인 된 조직학 교육 프로그램을 졸업하거나 다른 프로그램에서 유사한 과정을 수강 한 다음 적어도 1 년 동안 조직학에서 일하십시오. 인증은 면허가없는 주에서 자발적으로 이루어 지지만 장래 고용주에게 귀하가 직업에 유능하고 헌신적 인 사람임을 알려줍니다.
진보
인증은 실험실 경력에서 더 빠르고 안정적인 발전을 찾는 한 가지 방법이지만 다른 방법이 있습니다. 견고한 조직 및 관리 기술을 갖춘 경우 실험실에서 감독직으로 이동할 수 있습니다. 또한 학교로 돌아가서 조직 과학 기술자 또는 실험실 기술자 자격을 얻은 실험실 과학 학사 학위를 취득 할 수도 있습니다. 기술자는 더 많은 책임과 높은 임금을 누리고 승진 할 가능성이 더 큽니다. 비즈니스, 경영 또는 건강 관리 행정 분야에서 학위를 취득하는 것은 발전의 또 다른 길이며, 잘 지불 된 행정직으로 이어질 수 있습니다.
2016 의료 및 임상 실험실 기술자 및 기술자를위한 연봉 정보
미국 노동 통계국 (Bureau of Labor Statistics)에 따르면 의료 및 임상 실험실 기술자 및 기술자는 50,240에서 $ 2016의 연간 연봉을 받았습니다. 저비용의 의료 및 임상 실험실 기술자 및 기술자는 25th 백분위 수당 $ 41,520을 받았는데, 이는 75 %가이 금액보다 더 많이 벌었 음을 의미합니다. 75th 백분위 수당은 $ 62,090이며 25 %는 더 많은 수입을 얻습니다. 2016에서는 335,600 사람들이 의학 및 임상 실험 기술자 및 기술자로 미국에서 고용되었습니다.




